Классификация воспаления легких по причине болезни
https://youtube.com/watch?v=hhI3TRVGmFs
Воспаление легких является инфекционным заболеванием и может быть вызвано целым рядом патогенных микроорганизмов:
- Пневмококки (40-60%), стафилококки и стрептококки (2-5%);
- Палочка Фридлендера (3-8%), гемофильная палочка (7%);
- Энтеробактерии (6%), кишечная палочка, легионелла и др. (до 4,5%);
- Микоплазмы (6%);
- Вирусы и грибы.
Очень редко возникают неинфекционные формы под воздействием травм, ионизирующего излучения, аллергических факторов, токсических веществ.
Однако даже попав в здоровый организм, патогенные микробы, как и провоцирующие факторы, не в силах самостоятельно стать причиной воспаления – для этого им необходимы определенные благоприятные условия. Ведь сильный организм тут же сформирует соответствующий иммунный ответ, и болезнь будет подавлена на корню.

Пример назначаемых препаратов для лечения пневмонии на разных стадиях
А вот наличие некоторых особенностей в момент внедрения может стать отправной точкой для развития патологии:
- Сопутствующие хронические соматические заболевания (диабет, патологии сердечной системы, хронические заболевания легких и др. );
- Иммунодефицитные состояния;
- Частые простудные заболевания, вирусные инфекции;
- Постоперационный период;
- Пожилой и старческий возраст;
- Длительный постельный режим;
- Слишком холодный воздух.
Чаще всего пневмония появляется вследствие проникновения бактерий или вирусов воздушно-капельным путём с окружающей среды. Реже проникновение происходит через кровь или лимфу. Если у человека нормально работает иммунная система, он способен противостоять атакам вредоносных микроорганизмов. А больше подвержены заболеванию пневмонией дети и люди преклонного возраста с ослабленным иммунитетом. Существуют некоторые факторы, которые способствуют развитию воспаления лёгких у взрослых:
- Ослабленная иммунная система;
- Переохлаждение организма;
- Хронические заболевания лёгких или бронхов (хронический бронхит);
- Сердечные болезни;
- Табакокурение;
- Злоупотребление алкоголем;
- Приём лекарственных препаратов, которые угнетают иммунную систему;
- Хронические болезни носоглотки;
- Старость;
- Работа на вредном производстве;
- Иногда встречается врождённая пневмония у младенцев. Когда мать ранее перенесла заболевание.
Среди этиофакторов, вызывающих пневмонию, на первом месте стоит бактериальная инфекция. Чаще всего возбудителями пневмонии являются:
- грамположительные микроорганизмы: пневмококки (от 40 до 60%), стафилококки (от 2 до 5%), стрептококки (2,5%);
- грамотрицательные микроорганизмы: палочка Фридлендера (от 3 до 8%), гемофильная палочка (7%), энтеробактерии (6%), протей, кишечная палочка, легионелла и др. (от 1,5 до 4,5%);
- микоплазмы (6%);
- вирусные инфекции (вирусы герпеса, гриппа и парагриппа, аденовирусы и т. д.);
- грибковые инфекции.
Также пневмония может развиваться вследствие воздействия неинфекционных факторов: травм грудной клетки, ионизирующего излучения, токсических веществ, аллергических агентов.
Факторы риска
К группе риска по развитию пневмонии относятся пациенты с застойной сердечной недостаточностью, хроническими бронхитами, хронической носоглоточной инфекцией, врожденными пороками развития легких, с тяжелыми иммунодефицитными состояниями, ослабленные и истощенные больные, пациенты, длительно находящиеся на постельном режиме, а также лица пожилого и старческого возраста.
Особо подвержены развитию пневмонии курящие и злоупотребляющие алкоголем люди. Никотин и пары алкоголя повреждают слизистую оболочку бронхов и угнетают защитные факторы бронхопульмональной системы, создавая благоприятную среду для внедрения и размножения инфекции.
Инфекционные воспаления легких, вызванные вирусами, могут быть осложнением гриппа, парагриппа или ОРВИ (аденовирусная форма) или иметь первичную этиологию. В виду несовершенства методов диагностики не всегда можно выявить, какой именно вирус ответственен за возникновение заболевания, поэтому лечение чаще всего проводится с применением антивирусных препаратов широкого действия и носит симптоматический характер.
Бактериальное воспаление легких – одно из наиболее распространенных видов пневмоний. Выделяют несколько групп бактерий, способных вызывать воспалительные процессы нижних дыхательных путей. Среди них наиболее часто возбудителем пневмоний являются пневмококки, стрептококки, стафилококки, микоплазма, хламидии, синегнойная палочка и другие.
Диагностика у взрослых без температуры
После сбора анамнеза и проведения общего осмотра пациента врач, заподозривший пневмонию у больного, может назначить ему следующие методы обследования:
- Рентген грудной клетки — позволяет увидеть очаги воспаления и определить их локализацию;
- Исследование мокроты — микроскопическое исследование и посев на питательные среды. Это позволяет выявить возбудителя, что поможет в дальнейшем выборе антибактериальных препаратов;
- общие клинические и биохимические анализы — исследование мочи и крови.
В отдельных случаях могут понадобиться более серьезные виды обследования:
- Томография;
- бронхоскопия;
- биопсия;
- диагностическая торакотомия.
Особенности различных видов пневмонии на снимках
В первую очередь пневмонию всегда классифицируют на несколько типов распространения:
- очаговое воспаление (в таком случае поражается только небольшой участок ткани легких);
- сегментарное воспаление (в такой ситуации происходит поражение нескольких сегментов);
- долевое воспаление (такая пневмония захватывает определённую долю лёгкого и называется крупозной);
- тотальное воспаление (пневмония такого рода наиболее опасна и редка, она захватывает всё лёгкое).
Что же касается признаков пневмонии на рентгенограмме, то они различаются в зависимости от следующих видов:
- очаговая;
- крупозная;
- интерстициальная.
Отметим, что все изменения, которые будут выявлены на рентгене, немного отстают от клинических проявлений заболеваний.
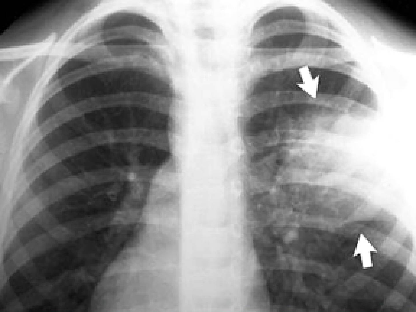
На рентген-снимке показана очаговая пневмония.
Очаговая пневмония
Очаговая пневмония встречается чаще всего, она переносится легко, если вовремя начать лечение. Нам часто задают вопрос о том, как выглядит очаговая пневмония на фото, вот её характерные особенности, которые можно увидеть на снимках:
- появление теней и значительное нарушение прозрачности на некоторых ограниченных участках;
- значительно увеличенный в размерах корень легкого, но только на той стороне, где наблюдается поражение;
- сильная деформация и усиление легочного и бронхиального сосудистого рисунка.
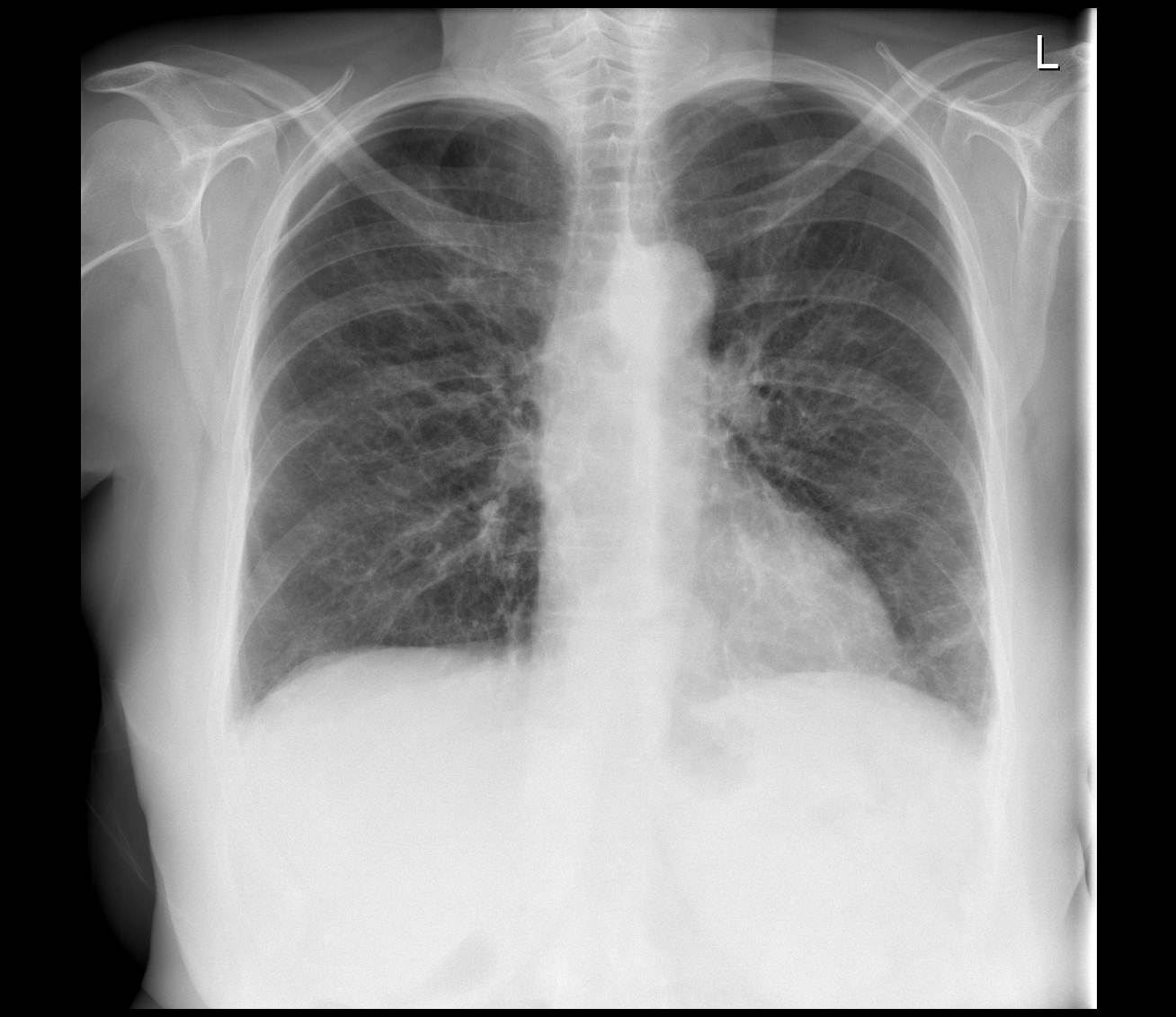
Снимок крупозной пневмонии.
Крупозная пневмония
Воспалительные процессы крупозного характера отличаются тем, что проходят в несколько стадий. В самом начале развития этой пневмонии, когда появляются первые типичные симптомы, на снимках еще не наблюдается каких-либо изменений или же они носят неспецифический характер. Вот список того, что можно заметить на этом этапе:
- локальное небольшое усиление лёгочного сосудистого рисунка;
- небольшое расширение корня легкого с той стороны, где произошло поражение;
- нормальная прозрачность полей или же её небольшое снижение.
Как несложно догадаться, подобные симптомы нередко пропускаются специалистами, не имеющими достаточного опыта. Также нередко это относят к проявлениям бронхита. Но через несколько дней на снимках можно заметить явное поражение легких:
- прозрачность легочного поля сильно снижается;
- происходит резкое уменьшение воздушности, а также появляются затемнения недостаточно интенсивного характера;
- корень легкого на той стороне, где произошло воспаление, расширяется.
Специалисты отмечают, что крупозная пневмония всегда сопровождается реакцией плевры. В области плевральной щели происходит затемнение при появлении выпота.
Интерстициальная пневмония на рентген снимке.
Интерстициальная пневмония
Такая разновидность пневмонии характеризуется поражением соединительной ткани, расположенной вокруг структур альвеолярного характера. Также страдает ткань кровеносных сосудов, находящихся в легких. Вот основные особенности интерстициальной пневмонии:
- корень легкого значительно расширяется;
- происходит перибронхиальная и периваскулярная инфильтрация, что практически всегда приводит к деформации сосудистого рисунка лёгких и к неравномерному его усилению;
- появляются полупрозрачные затемнения;
- появляются изменения, локализующихся внизу легких;
- иногда появляется тяжистость из-за уплотнения междольковых перегородок.
Атипичная пневмония легких на снимке.
Атипичная пневмония
Атипичная пневмония встречаются достаточно редко, а такое название она получила из-за необычных возбудителей этого заболевания (к ним можно отнести хламидию, клебсиеллу и микоплазму). Также атипичная пневмония имеет и своеобразные особенности проявления. Обычные симптомы пневмонии в этом случае будут не так выражены, над ними будет преобладать дыхательная недостаточность (вы будете чувствовать, что воздуха не хватает). Вот основные признаки атипичной пневмонии, которые можно увидеть на снимках:
- тени будут размыты, а затемнение ткани легкого будет носить неоднородный характер;
- атипичная пневмония нередко носит двусторонний характер, то есть проявления наблюдаются в обоих легких;
- происходит резкая деформации, связанная с бронхиальным или даже сосудистым рисунком;
- появляется округлое затемнение.
Пневмония без температуры: симптомы и лечение

Пневмония – это заражение легких, вызванное бактериями, грибками и вирусами. Воспаление легких по сей день является очень серьезным и опасным заболеванием, а также стоит на шестом месте среди причин смертности.
Симптомы
Симптоматика пневмонии довольно разнообразна. Основными симптомами воспаления легких является высокая температура тела до 40оС, одышка, отделение вязкой мокроты, постоянный озноб, сильный кашель, болезненные ощущения в груди при попытке сделать глубокий вдох, иногда отмечается цвет кожи при развитии цианоза. Но в последние годы все чаще встречается бессимптомное течение, во время заболевания у больного не повышается температура тела и может отсутствовать кашель. Пневмония без температуры характерна, как правило, для людей с ослабленной иммунной системой и тех, кто продолжительно и бесконтрольно принимал различные антибиотики. Симптомы воспаления бывают настолько слабыми, что поставить правильный диагноз можно только после ряда обследований.
Заподозрить данное заболевание можно, если наблюдается болезненный нездоровый румянец щек, прерывистое дыхание со свистом, одышка и частый пульс, слабость и недомогание, западание грудины при дыхании. Также возможна тупая боль в области легких при поворотах туловища. Во время пневмонии у детей появляется необычно высокая сонливость, снижение аппетита, сильная потливость, цианоз носогубного треугольника, отказ от любимых занятий.
Лечение
Для лечения пневмонии используют антибиотики второго и третьего поколения, например «Сульфаметоксазол», «Цефалоспорин», «Амоксиклав», «Клавуланат». При воспалении легких, которое вызвано аденовирусами, риновирусами или вирусами гриппа и парагриппа, антибиотики не приносят нужного терапевтического эффекта, поэтому к ним обязательно добавляют противовирусные препараты. А при грибковых формах пневмонии необходимо использовать препараты, действующие локально на каждый вид гриба.
Народная медицина
В дополнение к медикаментозному лечению рекомендуется включить и народные средства. Например, отлично борется с пневмонией чеснок. В период болезни нужно съедать по одному зубчику после еды. Эффективным средством против пневмонии является чесночный ингалятор. Сделайте несколько дырочек на дне в обычном пластиковом стаканчике. Мелко нарежьте чеснок и положите его на дно стаканчика. Вдыхайте ртом воздух из стаканчика, пропитанный чесноком, а выдыхайте – носом. Такую процедуру рекомендуется делать каждый час в течение 10-15 минут.
Для лечения воспаления легких используйте компресс из меда. Нанесите мед на кожу на область легких, сверху положите кусочек натуральной ткани, смоченный водкой, и обмотайте повязку полиэтиленом. Применяйте компресс два раза в сутки: утром и вечером перед сном.
KakProsto.ru>
Симптомы
О том, что в организме человека не все хорошо, и есть большая вероятность воспалительных процессов в легких, можно увидеть по следующим признакам:
- Кожа лица бледная.
- На щеке или обеих наблюдаться специфический румянец в виде красно-розовых пятен.
- Когда больной пытается глубоко вдохнуть, то слышен свист из глубины дыхательной системы.
- Глубокий вдох дается с трудом.
- Быстрая утомляемость при малейших физических нагрузках. Даже для того, чтобы сойти со второго этажа, требуются дополнительные усилия.
- Постоянная слабость. Особенно она проявляется ночью, больной просыпается весь в поту. И такое происходит по несколько раз за ночь.
- Постоянно хочется пить.
- Поворот туловища приносит болевые ощущения.
- Одышка и при этом тахикардия (учащенный пульс).
- Отсутствие аппетита.
- Насморк.
- Может быть мокрота зеленоватого цвета.
Отсутствие температуры часто дает повод думать об обычной простуде или о других заболеваниях, что значительно затрудняет процесс выздоровления.
Если такие признаки есть, значит, надо срочно идти на прием к врачу. Он направит на рентген и если увидит затемнения в легких, то поставит диагноз. Для более точного вывода рентген будут делать в двух проекциях.
Симптоматика воспаления легких без температуры у взрослого человека
Признаки пневмонии чаще всего схожи с симптомами гриппа или простуды. То, как симптомы у больного проявляются, зависит от происхождения воспаления легких.
В случае вирусного типа болезни у пациента отмечается сухой кашель, жар, боль головная и мышечная, сильная утомляемость, слабость, одышка.
При пневмонии, развивающейся вследствие действия микоплазмы, симптомы похожи на признаки как вирусного, так и бактериального типа болезни, но, как правило, менее выражены.
Чтобы своевременно обратиться к врачу и диагностировать заболевание, следует знать, какие первые признаки воспаления легких у детей, у подростков и у взрослых людей могут проявляться. Как правило, первые симптомы пневмонии легких следующие:
- повышение температуры;
- проявление одышки и кашля;
- озноб, лихорадка;
- слабость, усталость;
- боль в груди при попытке глубоко вздохнуть;
- головная боль.
Однако очень часто первые симптомы воспаления легких у взрослых, а также признаки болезни у ребенка могут не проявляться настолько выражено – часто вирусные заболевания протекают бессимптомно.
Как проявляется у взрослых пневмония, зависит от типа возбудителя, тяжести недуга и др. Характерные признаки воспаления легких у взрослых, острое развитие процесса, его обширность и вероятность проявления осложнений при неправильной терапии – главнее причины немедленного обращения пациентов к специалистам.
Симптомы пневмонии у взрослого человека проявляются уже в первые дни болезни. Первые признаки этой болезни зависят от ее возбудителя.
Кашель– это главный симптом пневмонии. Как правило, в первое время кашель при воспалительных процессах в легких навязчивый, сухой, проявляется постоянно. Однако иногда в более редких случаях, в первые дни болезни кашель бывает слабо выраженным, редким. Далее, в процессе развития недуга, кашель становится более влажным, при этом происходит выделение гнойной слизистой мокроты, имеющей зеленовато-желтый цвет. Кашель, а также насморк могут проявляться уже в первые дни болезни и продолжаться несколько дней.

Но даже при такой температуре, в случае, если у пациента отмечается слабость, недомогание, кашель, больному нужно обязательно обращаться к специалисту. Также серьезным симптомом является повторный подъем температуры в процессе протекания болезни. Еще один признак воспаления легких – отсутствие эффективности жаропонижающих лекарств.
Следует учесть и то, какие симптомы у взрослых без температуры могут отмечаться в первые дни развития пневмонии.
Если поражены большие объемы легких, пациента может беспокоить постоянная одышка, а также ощущение, что ему не хватает воздуха. При глубоком вдохе человек чувствует боль, похожее состояние также отмечается во время кашля. Легкое не может болеть, так как в нем отсутствуют болевые рецепторы. Однако в патологический процесс вовлекается плевра, что и ведет к проявлению болевого синдрома.
Уже в первые дни болезни у человека выражена бледность кожи. Также отмечается ряд других симптомов – резкое ухудшение аппетита, слабость, сильная утомляемость, активное потоотделение, озноб.
Принимая противокашлевые средства, человек непроизвольно смазывает картину заболевания. То есть основные симптомы болезни – кашель и температура могут не проявляться. А пневмония тем временем очень быстрыми темпами продолжает развиваться.
Всегда должны насторожить такие признаки и симптомы пневмонии без температуры у взрослых:
- Усталость, потеря сна и аппетита;
- Цианоз носогубного треугольника. Человек бледный, а треугольник кожи между носом и верхней губой синюшный;
- На коже щёк или лбу могут появляться нездоровые розовые пятна;
- Одышка даже при небольших физических усилиях;
- Потливость. Особенно в ночное время;
- При выдохе можно слышать протяжный тихий свист. А при повороте туловища возможны болезненные ощущения в районе грудной клетки.
Причины
Общим фактором, вызывающим любую пневмонию, является наличие возбудителя:
- Паразитов;
- бактерий;
- грибов;
- вирусов.
Причины течения пневмонии (воспаления легких) без температуры
- Снижение иммунитета — ослабление защитных реакций организма на фоне других острых или хронических заболеваний, или в пожилом возрасте;
- прием антибактериальных препаратов — если антибиотики принимаются нерационально для лечения заболеваний, то лечебного эффекта не будет наблюдаться. Но возможно значительное снижение иммунитета;
- прием противокашлевых препаратов — особенно при наличие мокроты. Это препятствует ее нормально отхождению, и вызывает воспалительный процесс.
В зоне риска оказываются:
- ВИЧ-инфицированные
- больные онкозаболеваниями
- пациенты длительно находящиеся в лежачем положении, в следствие различных причин.






































