Специфическая клиническая картина
Приблизительно в течение недели после проникновения вируса в организм происходит его репликация. Однако уже через 2 суток могут возникать первые признаки заражения. Они практически не отличаются от стандартных симптомов респираторных заболеваний и проявляются в виде кашля, заложенности носа, боли в горле. Примерно через неделю возникают непосредственно симптомы одно- или двухсторонней пневмонии:
- лихорадочное состояние;
- высокая температура;
- сильная одышка;
- болезненность в груди, которая усиливается при кашле;
- обильное потоотделение.
Еще одним характерным симптомом считается желание больного лежать на той стороне, где находится пораженное заболеванием легкое. Само воспаление может проявляться в виде бледности кожных покровов, артериальной гипотензии, болей в сердце. Оно часто отражается на работе системы ЖКТ, особенно у ослабленных или с пониженным иммунитетом пациентов. Они могут жаловаться на приступы тошноты и рвоты, водянистую диарею, дискомфорт в зоне живота.
Прогрессирование заболевания
По мере прогрессирования воспаления легких меняется и клиническая картина. Она зависит также от своевременности оказания квалифицированной медицинской помощи. Общее состояние здоровья пациента и наличие у него хронических патологий играет непосредственную роль в симптоматике.
Характерным признаком поражения легких одновременно вирусами и бактериями считается форсированное дыхание. В акте дыхания участвуют межреберные мышцы. Такая особенность является не физиологичной для обычного человека.
Острая пневмония при коронавирусе, как правило, продолжается до 7 суток
На этом этапе крайне важно заразившемуся оказать грамотную медицинскую помощь. В противном случае заболевание может осложниться и привести к хроническому легочному абсцессу
Характерные особенности заболевания
Достаточно опасным недугом является поражение дыхательных путей, негативно влияющее на организм в целом. Самочувствие человека резко становится хуже, происходит снижение иммунной системы.
Заболевание легких относится к одному из опасных болезней, в ходе чего изменяется состояние дыхательных путей. Посредством статистических данных, предоставляемых проверенными источниками, являются неудовлетворительными. Каждый год от воспаления легких погибают около 1,5 миллиона детей, возраст которых не превышает 5 лет.
Заболевание встречается очень часто, проявляется ярко выраженными симптомами и сильными болевыми ощущениями. Такую болезнь не всегда можно успешно излечить. В основном итог зависит от запущенности ее развития, от иммунной системы больного. Провокаторами выступают возбудители вирусного характера. Когда возникает вирусная пневмония, симптомы у взрослых идентичны с детскими.
При легкой форме болезни пневмония проходит на 3 недели. В то время как тяжелое течение может привести к гибели.
Вирусная пневмония – лечение
Прежде чем лечить характерный недуг, важно определить характер бактериальной флоры. Это заметно облегчает выбор антибиотиков, к которым особенно чувствительны те или иные вирусы
Основа интенсивной терапии – это прием антибиотических средств и противовирусных препаратов для быстрого истребления вредоносных микроорганизмов. Дополнительно лечение вирусной пневмонии предусматривает укрепление иммунитета, частичное или полное восстановление поврежденной легочной ткани. Не важно – взрослый или ребенок, лечить патологию разрешено только по врачебным рекомендациям.

У взрослых
Выбор медицинских препаратов осуществляется индивидуально лечащим врачом, поскольку поверхностное самолечение может только усугубить течение заболевания. Подход к проблеме однозначно комплексный, включает постельный режим, прием жаропонижающих и отхаркивающих средств. В любом случае, положена этиотропная терапия, при этом подходящие медикаменты назначаются, исходя из специфики патогенной флоры. Итак:
- При вирусе гриппа назначают такие медицинские препараты, как Ремантадин, Тамифлю, Реленза.
- При герпес-вирусной инфекции врачи рекомендуют пропить курс противовирусного препарата Ацикловир.
- При респираторно-синцитиальной инфекции положено принимать медикамент Рибавирин.
- При активности цитомегаловирусной инфекции это будет медицинский препарат Ганцикловир.
Системные антибиотики назначают при появлении таких опасных осложнений, как выделение гнойного содержимого из легких, непрекращающийся кашлевый рефлекс. Дренажный массаж и лекарственные ингаляции ускоряют выведение мокроты, дополнительно требуется укреплять иммунитет, придерживаться симптоматического лечения. Дополнительно эффективное лечение вирусной пневмонии у взрослых может потребовать проведения кислородотерапии. Обязательно лечебное питание и прием витаминов.
У детей
Если болеет ребенок, поставленные задачи перед педиатрами имеют примерно такое же содержание. Необходимо убить инфекцию, сократить очаги некроза легочной ткани, снизить и полностью устранить тревожную симптоматику, укрепить иммунную систему маленького пациента. Лечение вирусной пневмонии у детей предусматривает комплексный подход, включает следующие терапевтические мероприятия:
- Постельный режим, минимальные физические нагрузки.
- Лечебное питание легкоусвояемыми продуктами, обильный питьевой режим.
- Прием жаропонижающих средств: Панадол, Ибупром, Нурофен.
- Физиотерапевтические процедуры: прогревание легких, ингаляции.
- Дыхательная гимнастика в спокойной обстановке.
- Прием противовирусных препаратов (Ацикловир, Занамивир, Ганцикловир), реже – антибиотиков (Флемоксин Солютаб, Аугментин, Амоксиклав).
- Прием бронхолитиков, муколитиков, антигистаминов для подавления кашлевого приступа, других симптомов пневмонии вирусной формы.

Вирусная пневмония – симптомы
Первые признаки заболевания приковывают к постели, поскольку болезнь стартует в острой стадии. Очень сложно на ранней стадии дифференцировать поражение легких вирусной формы, поскольку по симптоматике она сходна с простудой, ОРВИ и гриппом. Однако основной удар все же приходится на дыхательные пути, в которых сосредоточена большая концентрация аденовирусной инфекции. Характерные симптомы вирусной пневмонии представлены ниже, при этом оказывают системное действие в пораженном организме:
- рецидивирующая головная боль;
- боль в области грудной клетки при кашле и в состоянии покоя;
- выраженные признаки брадикардии, тахикардии;
- кашель без отделения мокроты;
- расстройство пищеварения, диарея;
- озноб, высокая температура, другие симптомы лихорадки;
- ломота во всем теле, мышечная боль;
- одышка и тахипноэ;
- заложенность носа, насморк;
- тошнота, рвота, другие признаки интоксикации организма;
- влажные хрипы;
- першение в горле;
- общая слабость;
- геморрагическая сыпь на теле;
- полное отсутствие аппетита.
Чтобы заподозрить и вовремя определить, что прогрессирует вирусное воспаление легких, внимание следует обратить на такие специфические симптомы, как хрипящий или свистящий звук во время разговора, повышение температуры более 40 градусов, выраженные признаки токсикоза. Необходимо срочно обратиться к врачу за диагностикой, чтобы потом вовремя начать консервативное лечение
- Как лечить воспаление легких у взрослых и детей — диагностика, народные и лекарственные средства
- Вирусные заболевания — симптомы, диагностика и лечение
- Симптомы воспаления легких у взрослых — пневмонии

У взрослых
Симптоматика у старшего поколения выражена умеренно, поскольку вирус пневмонии сдерживает иммунитет человека. Если в организме уже есть хронические заболевания, длительность инкубационного периода в разы сокращается. Признаки вирусной пневмонии у взрослых стартуют с острой дыхательной недостаточности, которую сложно дифференцировать самостоятельно в домашних условиях. Лучше сразу вызывать врача, иначе гриппозная пневмония может дать опасные для жизни и здоровья осложнения.
У детей
Если болен ребенок, первое время родители уверены, что это обычная простуда. На тревожные мысли начинает наталкивать признаки миалгии, на которые жалуется слабый малыш. Беспокоит высокая температура тела, причем стабилизировать температурный режим медикаментозно весьма проблематично. Другие признаки вирусной пневмонии у детей включают такие перемены в общем самочувствии:
- покраснение глазных яблок;
- посинение конечностей на фоне приступов кашлевого рефлекса, цианоз;
- бессонница, хроническая усталость;
- повышенная нервозность;
- отчетливо прослушиваемые хрипы (хрипящий звук при дыхании).

Определение заболевания
Пневмония, или воспаление лёгких – это воспалительный инфекционный процесс, который охватывает нижние части дыхательной системы. Поражаются лёгочные альвеолы вирусами, и там начинается накопление слизи, нарушается газообмен в организме. Возникает как самостоятельная болезнь, а может быть осложнением других недугов. В большинстве случаев это случается после перенесенного ОРВИ, гриппа и других подобных инфекционных заболеваний. Где-то к четвёртому — пятому дню к бактериальной инфекции может присоединиться вирус или, наоборот, к вирусной инфекции присоединяются бактерии.
Существует ли прививка от этой болезни
Широко известна вакцина от пневмонии, которая входит в число обязательных для прививания детей, но она предполагает защиту организма от пневмококков. Соответственно, эта прививка предохраняет от бактериальной формы болезни. И одной этой вакцины недостаточно, чтобы уберечься от вирусной пневмонии. Прививки от этой болезни, как таковой, не существует. Но есть вакцины против различных вирусов.
Известно, что вирусы гриппа постоянно модифицируются, поэтому вакцины также регулярно совершенствуются. Каждый год создаются препараты от наиболее распространенных штаммов вируса на текущий момент. В связи с этим необходимо прививаться ежегодно осенью, не позднее чем за две недели до предполагаемого развития сезонной эпидемии. После применения вакцины антитела в организме вырабатываются в течение двух недель.
Даже если привившийся человек все-таки будет инфицирован, заболевание пройдет в очень лёгкой форме. Заразиться от прививки невозможно, так как вакцина не содержит живые бактерии и вирусы.
Симптомы пневмонии при коронавирусе
Специфические признаки отсутствуют. Человек не способен самостоятельно обнаружить у себя воспаление легких. Есть только критерии, свидетельствующие о необходимости срочного обращения к врачу. Это сильная длительная лихорадка с температурой выше 39 градусов (больше двух дней), головокружение, слабость, одышка и ощущение нехватки воздуха. Особенно опасным признаком считается посинение кожного покрова в лицевой зоне и других областях, указывающее на низкий уровень кислородного насыщения крови. Специалисты в области здравоохранения рекомендуют вызывать врача даже при умеренной лихорадке для оценки тяжести состояния. При приступе удушья нужно вызывать скорую помощь.
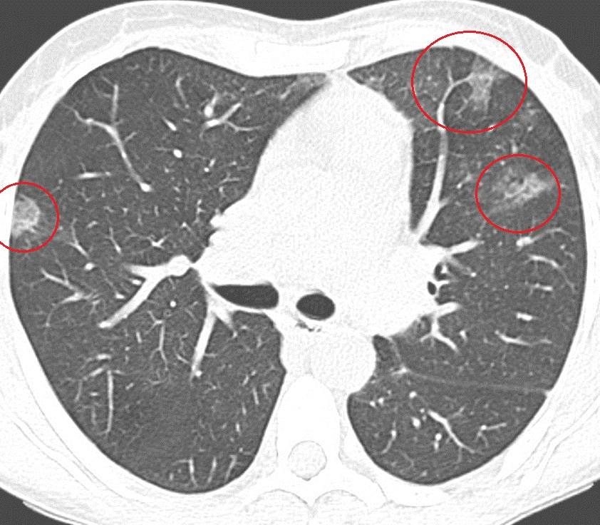
Эффект матового стекла
Какими симптомами сопровождается заболевание
Так как возникает пневмония из-за вируса, степень тяжести заболевания и выраженность симптомов будут зависеть от типа возбудителя. Но в любом случае воспалительный процесс в легких начинается с первых дней ОРВИ.
Признаки поражения аденовирусами
Если причиной заболевания стала аденовирусная инфекция, она сопровождается поражением респираторного отдела легких. У больного появляются следующие симптомы:
Частый кашель является признаком вирусной пневмонии
- повышение температуры тела до 38–39 °С;
- частый изнуряющий кашель;
- сильное воспаление слизистой оболочки носо- и ротоглотки;
- воспаление и увеличение лимфоузлов.
При поражении легких аденовирусной инфекцией высокая температура может держаться на протяжении двух недель. При этом температура тела в течение дня может сильно колебаться. Больного мучает частый кашель и одышка, усиливающаяся даже при незначительных физических нагрузках. При прослушивании фонендоскопом в легких обнаруживаются влажные хрипы. Симптомы аденовирусной пневмонии сохраняются в течение продолжительного времени. Болезнь склонна к рецидивам и осложнениям в виде среднего отита и плеврита.
Признаки поражения вирусами гриппа
В периоды эпидемий гриппа повышается риск развития вирусной пневмонии. Если заболевание развивается под воздействием вируса гриппа, к основным признакам ОРВИ присоединяется следующее:
Боли за грудиной является признаком поражения вирусами гриппа
- одышка;
- посинение кожных покровов, обусловленное дыхательной недостаточностью;
- кашель, сопровождающийся отхождением мокроты ржавого оттенка;
- хрипы в легких при прослушивании фонендоскопом;
- боли за грудиной, усиливающиеся при вдохе.
У детей особенно выражены признаки интоксикации, сопровождающиеся тошнотой и рвотой. Иногда могут возникать судороги. Если возникает пневмония из-за вируса гриппа, она, как правило, носит двусторонний характер, что подтверждается рентгенологическим исследованием.
Если пневмония протекает в легкой форме, ее симптомы выражены неярко, а после проведенного лечения наступает полное выздоровление. Тяжелые формы заканчиваются осложнениями в виде гриппозного энцефалита, менингита, отита или пиелонефрита. Если к основному заболеванию присоединяется бактериальная инфекция, возможно тяжелое поражение легких, заканчивающееся летальным исходом.
Признаки поражения другими вирусами
При пневмонии у маленьких детей повышается температура тела
Пневмония на фоне заражения парагриппозным вирусом возникает чаще у маленьких детей с умеренными симптомами интоксикации и поражения респираторного отдела легких. Температура тела не превышает субфебрильных значений. В случае развития тяжелых форм у детей краснеют кожные покровы, отмечается потеря веса, на теле появляются синяки, свидетельствующие о разрушении сосудов.
Респираторно-синцитиальная пневмония протекает тяжело. Температура тела повышается до 38–39 °С. Происходит нарушение дыхательной функции, что обусловлено закупоркой бронхиол и мелких бронхов слизью. В результате гипоксии наблюдается синюшность носогубного треугольника и области вокруг глаз. Больные жалуются на частый влажный кашель. Но ввиду повышения вязкости мокроты, кашель не приносит облегчения.
Особенности проведения диагностики
Диагностика пневмонии
Чтобы определить спектр лечебных мероприятий, врачу необходимо установить тип возбудителя и распознать форму вирусной пневмонии. Получить данную информацию помогает изучение анамнеза, осмотр пациента, рентгенологическое обследование и лабораторные анализы. При постановке диагноза врач также учитывает эпидемиологическую обстановку в регионе проживания.
О воспалительном процессе в легких свидетельствуют хрипы, выявляемые при прослушивании пациента фонендоскопом, а также результаты рентгенографии легких. Для подтверждения вирусного происхождения пневмонии проводится исследование мокроты. По результатам лабораторных исследований в крови обнаруживается повышение титров антител к вирусному агенту.
Результаты обследования пациента изучает врач-пульмонолог, который на их основании исключает наличие других заболеваний, в том числе облитерирующего бронхиолита, аспирационной пневмонии и прочее.
















































