Классификация пневмоний
Пневмонии классифицируют на атипичные, внутрибольничные, внебольничные.
А также проводят их классификацию и по следующим признакам:
- По течению (различают затянувшуюся — длиться более чем 6 недель и острую);
- По степени тяжести (крайне тяжёлая, тяжёлая, средней тяжести и лёгкая);
- По протяжённости и локализации различают: двухсторонняя и односторонняя (прикорневая, центральная, субдолевая, сегментарная, долевая, тотальная);
- По клинико — морфологическим показателям (сливная, интерстициальные, мелко- и крупноочаговые, очаговые, паренхиматозные — крупозные);
- По патогенезу: вторичные и первичные;
- По этиологии (смешанные, вирусные, бактериальные, обусловленные физико-химическими факторами).
Классификация заболевания
Из-за вторичного характера болезнь чаще встречается у населения взрослого (после 27-30 лет) или пожилого возраста. Характерные физиологические изменения (ослабление иммунитета, присоединение хронических патологий других систем организма) вносят свою лепту в течение туберкулеза, его проявление и лечение.
Очаговый туберкулез легких классифицируют по характеру течения (моменту возникновения) и по специфике инфильтратов. Которые бывают мелкими, средними и крупными. Или в переводе на цифры равны 0,3, 0,6 или 1 сантиметру.
По течению туберкулеза выделяют две формы:

- Мягко-очаговый. Начальный этап развития патологии, инфильтрация. Сопровождается эндобронхитом, перибронхитом, бронхопневмонией. Легко поддается лечению, воспаление быстро проходит, новообразования распадаются.
- Фиброзно-очаговый (уплотнение), или хроническая форма. Возникает как на фоне зарубцевавшихся мест (явление обострения, рецидива), так и других типов заболевания (инфильтративный, кавернозный, диссеминированный). Воспалительного процесса как такового почти нет. Происходит рубцевание.
Хронический тип очагового туберкулеза бывает на этапе инфильтрации, распада или уплотнения. Кроме того, способен трансформироваться в иные формы заболевания, разрастаться (увеличение площади поражения) и по мере развития сопровождаться новыми симптомами.
По месту локации патология подразделяется на очаговый туберкулез верхней доли правого или левого легкого.
Тому в медицине существуют несколько объяснений:
- малая подвижность этой части органа;
- недостаточный ток кислорода, крови и лимфы;
- вертикальное положение тела;
- гиперсенсибилизация.
Чаще заражению подвергается правая часть, реже — левая. Крайне редко встречается симметричный процесс.
По способу распространения выделяют инфекционную форму (экзогенная инфекция), рецидивирующую (активация первичных зон) лимфогенного или гематогенного происхождения, трансформационную (переход других видов туберкулеза в очаговый), инородную (переход инфекции из других систем).
Заразен или нет для окружающих
Если заболевание развилось в легких и оно является активным или нелеченным, всегда нужно считать, что микобактерии способны передаваться другому человеку. Патология может распространяться среди других с помощью капель в воздухе, образующихся во время чихания, кашля и контакта с мокротой. Поэтому вы можете заразиться болезнью при тесном контакте с инфицированными людьми.
Вспышки недуга происходят в замкнутых и переполненных людьми помещениях и территориях.
Заразен или нет очаговый туберкулез легких для окружающих? Инкубационный период, в зависимости от расположения, активности и размеров очага в легких, может варьировать от двух до 12 недель. Человек может оставаться заразным в течение длительного времени и до тех пор, пока не пройдут курс терапии в течение нескольких недель.
Следует иметь ввиду, что некоторые люди являются носителями инфекции очень долгое время, но визуально это никак не определяется. Обычно это соответствует неактивной форме недуга и микроорганизмы в этот период находятся в режиме гибернации. В данном случае человек не заразен для окружающих и может вести обычный образ жизни. При выявлении таких лиц, им назначают специальное лечение.
www.medicinenet.com
https://www.youtube.com/embed
Причины инфильтративного туберкулеза легких
Возбудители туберкулёза – это микроорганизмы, которые относятся к типу кислотоустойчивых бактерий рода Mycobacterium. Существует семьдесят четыре вида таких микобактерий, известных медицине. Их можно встретить в воде, в почве, в организме людей и животных.
Но человек заболевает туберкулёзом только при заражении сразу несколькими типами микобактерий. Такой болезнетворный комплекс носит название M. Tuberculosis и включает в себя человеческий тип Mycobacterium tuberculosis, бычий Mycobacterium bovis, Mycobacterium africanum, Mycobacterium bovis BCG (БЦЖ-штамм), а также Mycobacterium canetti и Mycobacterium microti.
Человек в большинстве случаев заболевает туберкулёзом в результате заражения бычьим и человеческим типами микобактерий. Максимальное число выделений M. bovis фиксируется у сельских жителей, там, где основным путем передачи возбудителя является алиментарный способ (через пищу). Птичий туберкулез встречается, главным образом, у носителей патогенных микроорганизмов со сниженным иммунитетом.
Микобактерии туберкулёза входят в группу прокариотов, для которых характерно отсутствие высокоорганизованных органелл аппарата Гольджи и лизосом в цитоплазме. У них также нет плазмидов, необходимых для динамики генома, поэтому туберкулезные микобактерии мигрируют только с помощью организмов-носителей.
Вызывающие туберкулез микроорганизмы не двигаются самостоятельно. Они также не создают капсул и микроспор.
Клетка такой бактерии состоит из:
-
Микрокапсулы, стенка которой образована тремя-четырьмя слоями, каждый из которых имеет толщину 200-250 нанометров и состоит из полисахаридов. Микрокапсула прочно соединена со стенкой клетки и служит защитой от действия внешних факторов. Она не имеет антигенных свойств, однако серологически активна;
-
Клеточной стенки, которая служит внешней границей бактерии, держит её форму и размеры стабильными, защищает от механических, осмотических и химических воздействий и обладает факторами вирулентности –липидами;
-
Гомогенной бактериальной цитоплазмы;
-
Цитоплазматической мембраны, содержащей комплексы липопротеинов и системы ферментов. Она служит для формирования внутрицитоплазматической мембранной системы (мезосомы);
-
Ядерной субстанции, содержащей хромосомы и плазмиды.
Антигенные характеристики МБТ реализуются в белках-туберкулопротеидах, в том числе, в туберкулине. Они специфичны при возникновении реакций повышенной чувствительности замедленного типа. Наличие полисахаридов в составе бактерии помогает выявлять антитела в сыворотке крови пациентов. Устойчивость к кислотным и щелочным средам этим микобактериям дают липиды.
Бактерии Mycobacterium tuberculosis являются аэробными, Mycobacterium bovis и Mycobacterium africanum – аэрофильными, то есть, для питания и размножения им необходим воздух.
Как и другие формы, инфильтрационный туберкулёз развивается при попадании в организм туберкулёзной палочки (Mycobacterium tuberculosis). Существуют более 74 вариантов бацилл, вызывающих эту болезнь. Они могут развиваться не только в организме людей, животных и птиц. Многие виды туберкулёзных палочек могут жить в почве, воде и воздухе. Чаще всего возбудителями становятся не только человеческий штамм туберкулёза, но и бычий.

Заражение чаще всего происходит воздушно-капельным путём, при непосредственном контакте с больным человеком либо животным. Реже через зараженную воду, бытовые или половые контакты, даже через пищу. Первичное инфицирование без вовремя начатой антибактериальной терапии приводит к появлению первых клинических симптомов. Предрасположенность к инфицированию туберкулёза создают такие факторы:
- Несбалансированный рацион питания, применение «жестких» монодиет;
- Сахарный диабет любого типа;
- Беременность.

Причины возникновения инфильтративного туберкулёза лёгких
Диагностика
Заболевание диагностируется несколькими методами. Первично врач проводит физикальное обследование, в ходе которого выявляется отставание грудной клетки в том легком, в котором начал развиваться патологический процесс. Мышечная система грудной клетки находится в тонусе, присутствуют болезненные ощущения.
Для туберкулеза, развивающегося по типу лобит, при прослушивании определяется притупление перкурторного звука. Дыхание влажное, слышны устойчивые хрипы.
Для подтверждения диагноза используют и другие диагностические методы:
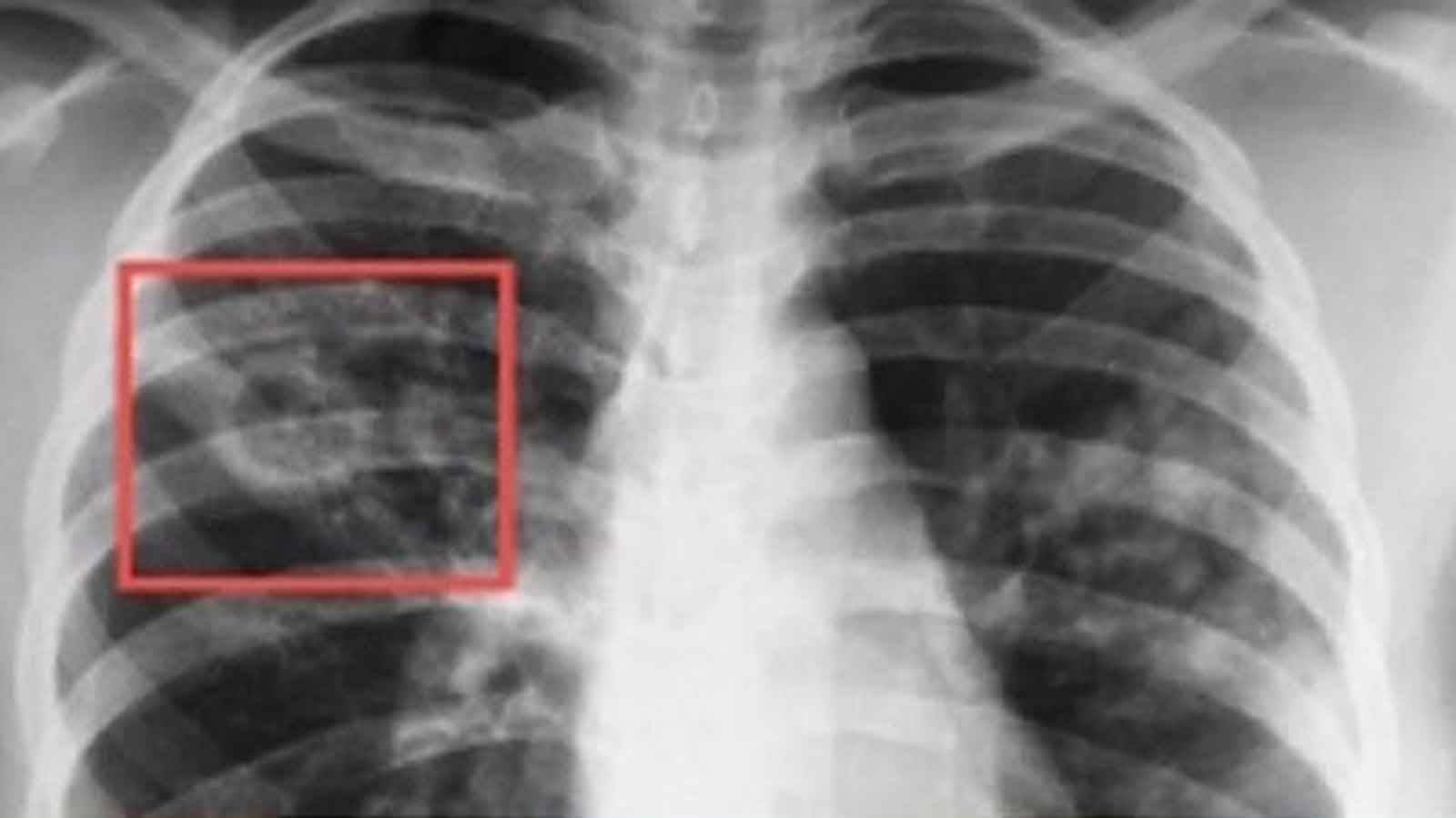
- рентгенография покажет, что инфильтраты локализуются преимущественно в верхних отделах, от них отходит дорожка к корню легкого;
- общий анализ крови, который покажет снижение гемоглобина, повышение тромбоцитов, наличие лейкоцитоза;
- биохимический анализ крови показывает повышенный уровень С-реактивного белка;
- анализ мочи информирует об уменьшении концентрации фосфора в моче;
- проба Манту;
- томография;
- исследование мокроты на наличие микобактерий;
- бронхоскопия, в ходе которой оценивается состояние слизистых тканей трахеи и бронхов с применением специального аппарата – бронхоскопа.

Окончательный диагноз выставляют на основании результатов исследования мокроты, в ней обнаруживаются фибринозные свертки, тельца Коха, эозинофилы, спирали Куршмана, повышенное содержание лимфоцитов, большой количество белка. Наличие в ней микобактерий подтверждает тот факт, что у больного инфильтративный туберкулез.
Дифференциальная диагностика
Симптомы инфильтративного туберкулеза имеют общие признаки с другими заболеваниями. Чтобы не ошибиться в постановке диагноза, требуется провести дифференциальную диагностику. Инфильтративный туберкулез следует отличать от:
- плевропневмонии;
- инфаркта легкого:
- раком легкого;
- эхинококкоз;
- кандидамикозом;
- актиномикозом.
От пневмонии недуг отличается тем, что в верхних дыхательных путях не наблюдается катаральных воспалительных процессов. Туберкулез, в большинстве случаев, развивается постепенно, в отличие от пневмонии, которая характеризуется бурным проявлением симптомов, тяжелым состоянием больного и высокой температурой. Такие признаки не характерны для туберкулеза на начальном этапе, они появятся только в процессе прогрессирования заболевания.

Инфаркт легкого имеет с туберкулезом общие симптомы: кровохарканье, боль в области грудной клетки и одышка. Но для инфаркта легкого характерно внезапное начало без повышения температуры. Болезнь сопровождается тромбофлебитом вен нижних конечностей, сердечными заболеваниями.
Для того чтобы дифференцировать инфильтративный туберкулез и рак легкого, требуется провести цитологический анализ мокроты.
Заболеваемость (на 100 000 человек)
| Мужчины | Женщины | |||||||||||||
| Возраст,лет | 0-1 | 1-3 | 3-14 | 14-25 | 25-40 | 40-60 | 60 | 0-1 | 1-3 | 3-14 | 14-25 | 25-40 | 40-60 | 60 |
| Кол-возаболевших | 12 | 13 | 19 | 90 | 90 | 90 | 90 | 12 | 13 | 19 | 90 | 90 | 90 | 90 |
Что нужно пройти при подозрении на заболевание
-
При туберкулезе концентрация РЭА в пределах 10 нг/мл.
-
Положительный результат ПЦР-диагностики на наличие возбудителя туберкулеза с большой степенью точности указывает на наличие этой инфекции.
-
При туберкулезе может наблюдаться повышение уровня С-реактивного белка.
-
Для туберкулеза характерно уменьшение концентрации фосфора в моче.
-
При туберкулезе уровень РЭА (раково-эмбрионального антигена) повышен (70%).
-
При туберкулезе повышено количество тромбоцитов (Plt) (тромбоцитоз), отмечается относительный лимфоцитоз (Lymph) (более 35%), моноцитоз (Моno) больше 0,8×109 /л.
-
Расположение очаговых теней (очагов) на снимке (теней размером до 1 см) в верхних отделах легких, наличие кальцинатов (теней округлой формы, по плотности сравнимых с костной тканью) типично для туберкулеза. Если кальцинатов множество, то вероятно, что у человека был довольно близкий контакт с больным туберкулезом, но заболевание не развилось. Признаки фиброза, плевроапикальные наслоения на снимке могут говорить о перенесенном туберкулезе.
-
При туберкулезном процессе в легком, сопровождающемся распадом ткани, особенно при наличии каверны, сообщающейся с бронхом, может выделяться много мокроты. Кровянистая мокрота, состоящая почти из чистой крови, наиболее часто отмечается при туберкулезе легких. При туберкулезе легких с творожистым распадом мокрота ржавого или коричневого цвета. В мокроте могут обнаруживаться фибринозные свертки, состоящие из слизи и фибрина; рисовидные тельца (чечевицы, линзы Коха); эозинофилы; эластические волокна; спирали Куршманна. Увеличение содержания лимфоцитов в мокроте возможно при туберкулезе легких. Определение белка в мокроте может явиться подспорьем при дифференциальной диагностике между хроническим бронхитом и туберкулезом: при хроническом бронхите в мокроте определяются следы белка, в то время как при туберкулезе легких в мокроте содержание белка больше, и он может быть определен количественно (до 100—120 г/л).
Классификация
Туберкулез имеет несколько видов. Классифицируется патология по количеству очагов, их локализации, размеру, степени воспалительного процесса.
По количеству патологических участков болезнь бывает:
- С единичным очагом.
- С многочисленными очагами. Наблюдается более 2 патологических участков, которые между собой никак не связаны.
По месту расположения очагов:
- верхнедолевая;
- нижнедолевая;
- среднедолевая (для легкого, расположенного справа).
По давности течения
По степени давности развития болезнь бывает:
- Мягко-очаговой. Характерна для начальной стадии развития заболевания. Очаг состоит исключительно из патологических клеток и распадающихся тканей. Возникает у больного, который был ранее инфицирован микобактериями.
- Фиброзно-очаговой. Характерна для поздней стадии заболевания. В патологическом очаге формируется соединительная ткань, которая замещает очаги деструкции и ограничивает аффект от нормальной легочной ткани.
По фазам
Заболевание протекает в 3 фазах:
- инфильтрация;
- распад;
- уплотнение.
При очаговом туберкулезе в фазе инфильтрации в легких возникают небольшие патологические области. Появляются они как в одном, так и в обоих органах. При этом отсутствуют симптомы, т. к. воспалительный процесс не развивается.
Схемы лечения
Врач может назначить:
- при экссудативном воспалительном процессе – Стрептомицин, Рифампицин и Изониазид;
- при обострении заболевания – Рифампицин и Изониазид.
Курс лечения длится 6-9 месяцев. В первые 4 месяца препараты нужно принимать каждый день, потом – 2-3 раза в неделю. При этом терапия обязательно сопровождается регулярным проведением рентгена. Положительная динамика, которая наблюдается в течение первых 3 месяцев, указывает на благоприятный прогноз.
Лечение
Больного помещают в специализированное лечебное учреждение. Базовым методом лечения является химиотерапия со следующими лекарственными средствами:
- Этамбул;
- Пиразинамид;
- Изониазид;
- Рифампицин.
Чтобы выяснить, к каким антибиотикам чувствительны микобактерии, проводят посев мокроты. Суть процедуры сводится к выращиванию микобактерий, взятых из образца мокроты больного. Когда бактерии вырастут, их разделяют на нескольку групп, на которые воздействуют теми или иными антибактериальными препаратами. Только так можно обнаружить, какое лекарство следует применить для борьбы с болезнетворными бактериями. Данный анализ очень сложен, его результаты будут готовы только спустя два-три месяца.
Длительность интенсивной терапии при необходимости может составлять несколько месяцев. Дополнительный курс включает применение иммуномодуляторов, кортикостероидов, антиоксидантов.

Микобактерии могут проявлять устойчивость к некоторым лекарственным препаратам, поэтому, в курс лечения обычно входят сразу несколько видов лекарств. Чтобы определить чувствительность к тому или иному антибиотику, проводят специальное исследование мокроты, но такой анализ дает результаты только спустя два или три месяца.
Важно! Кроме приема лекарств, требуется внести изменения в образ жизни. Питание должно быть полноценным, необходимо отказаться от вредных привычек.
Правильно организованный курс терапии позволит справиться с симптомами недуга в следующие сроки:
Правильно организованный курс терапии позволит справиться с симптомами недуга в следующие сроки:
- основные симптомы исчезнут через один месяц;
- токсическое выделение будет устранено спустя три-четыре месяца;
- инфильтраты рассосутся через месяц.
Но отсутствие симптомов заболевания еще не свидетельствует о полном излечении. Микобактерии могут оставаться в организме. Для того чтобы они не проявляли свою активность, необходимо укреплять иммунитет, избегать стрессов, беречь себя от инфекционных заболеваний. При наличии такого серьезного заболевания полезны прогулки на свежем воздухе, особенно в хвойных лесах. Именно поэтому противотуберкулезные диспансеры расположены чаще всего в лесной зоне. Врач назначит повторный курс лечения в профилактических целях. Некоторые лекарственные препараты потребуется пропить еще раз.
В особо тяжелых случаях инфильтративный туберкулез устраняют хирургическим способом, процедура носит название – оперативная коллапсотерапия. К такому методу прибегают при обширном поражении легочной ткани и риске перехода недуга на второе легкое.
Лечение народными средствами
Народные методы могут быть только дополнением к традиционной терапии. Туберкулез нельзя вылечить одними лишь народными средствами. Тем не менее, многие природные компоненты помогут ослабить симптомы заболевания. В лечении недуга используют следующие травы:
- Медуница способствует заживлению пораженных участков, из нее готовят отвары, для которых берут 1 или 2 столовые ложки сушеной травы и заливают одним стаканом воды. Подержав на огне около 19 минут, настаивают еще в течение получаса. Полученное средство выпивают порционно в течение дня.
- Алоэ и ягоды калины (100 граммов) измельчают через мясорубку или в блендере. К полученной смеси добавляют по 200 граммов меда и сливочного масла, туда же добавляют один литр водки. Лекарство настаивают в течение десяти дней. Для приема потребуется одну чайную ложечку средства растворить в стакане горячего молока, стакан с настойкой выпивают целиком. В течение дня такое лечение повторяют трижды.
- Исландский мох эффективно борется с микобактериями. Кроме того, он применяется как отхаркивающее средство.
- Барсучий жир продается в аптеках, с его помощью можно значительно улучшить состояние больного. Его смешивают с медом и принимают за полчаса до еды. Таким образом лечатся на протяжение двух недель.
- Обычный чеснок может помочь в лечении туберкулеза. Для этого следует съедать ежедневно от 3 до 5 зубчиков. Также полезно вдыхать пары чеснока.
Прежде чем использовать то или иное народное средство, требуется посоветоваться с врачом.

Диагностика
- Общий анализ крови: незначительный лейкоцитоз с нейтрофильным сдвигом влево, незначительное увеличение скорости оседания эритроцитов.
- Анализ мокроты и промывных вод бронхов: в 70% случаев выявляются микобактерии туберкулеза.
- Рентгенография легких: инфильтраты чаще локализуются в 1, 2 и 6 сегментах легкого. От них к корню легкого идет так называемая дорожка, которая является следствием перибронхиальных и периваскулярных воспалительных изменений.
- Компьютерная томография легких: позволяет получить наиболее достоверные сведения о структуре инфильтрата или каверны.
Чтобы диагностировать очаговый туберкулез, врач собирает анамнез и изучает жалобы больного. После этого проводит пальпацию и стетоакустическое обследование. При обострении хрипы можно услышать после покашливания.
Симптомы
Такое заболевание характеризуется мало выраженными симптомами или их отсутствием, поэтому обнаруживается патология при проведении флюорографического исследования. У большинства больных выявляют плохо выраженные признаки интоксикации, такие как:
- субфебрильная температура по вечерам;
- потливость;
- небольшой озноб;
- чувство жара;
- слабость.
Пациенту проводят рентген легких в 2 проекциях. При свежем заболевании на снимке очаги представлены в виде теневых образований небольшого и крупного размера, имеющих округлую форму. Нередко они локализуются в верхних отделах легких. Для хронической формы патологии характерны плотные фокусы с очагами фиброзных тяжей. При фиброзе ткани легкого мелкие очаги соединяются и перемещаются к верхушке легкого, а к плевре тянутся тени в виде полос.
К дополнительным методам исследования относят:
- бронхоскопию;
- пробу Манту.
Но такие разновидности обследования малоинформативны и назначают исключительно для того, чтобы уточнить диагноз. Например, возбудителя болезни в биологическом материале обнаруживают, если имеется полость распада. Проба Манту показывает положительную реакцию, но только в случае первичного инфицирования.
Симптомы заболевания
Патология может начаться остро или не сопровождаться ярко выраженными симптомами. Это зависит от типа инфильтрата. Обычно туберкулез начинается остро при лобите и перисциссурите. В остальных случаях заболевание протекает бессимптомно.

Поначалу, в фазе инфильтрации, может наблюдаться резкое повышение температуры тела неясного происхождения. Симптом сохраняется в течение нескольких недель. Также больной может жаловаться на сильный кашель с обильным выделением мокроты, потливость, болевые ощущения в области мышц. Клинические симптомы сходны с простудными заболеваниями и пневмонией. Фаза инфильтрации редко сопровождается кровохарканьем или легочными кровотечениями.
Со временем появляются выраженные боли в грудной клетке, как правило, со стороны туберкулезного поражения. Уменьшается аппетит, из-за чего может произойти резкое снижение веса. Человек страдает бессонницей, причиной которой является сильный кашель в ночное время.
Фаза распада и обсеменения может сопровождаться очень сильной болью, лихорадочными состояниями и значительным повышением температуры – до 41 градуса. Пациент жалуется на одышку (в особенности после физических нагрузок), кашель с гнойной мокротой. Это очень опасно для здоровья, и, если вовремя не обратиться к врачу, возможен летальный исход. Легче всего переносится фаза рассасывания – воспалительный процесс уменьшается, пациент идет на поправку, с каждым днем его состояние улучшается.

Симптомы при инфильтрате в лёгких
- При тщательном осмотре пациента очень часто выявляют учащённое дыхание и отставания в процессе дыхания той половины грудной клетки, где лёгочный инфильтрат локализовался. Также нередко могут выявить голосовое усиленное дрожание над областью неглубоко расположенного, обширного и крупного инфильтрата в лёгких. Это голосовое дрожание обуславливается уплотнением в ткани инфильтрированной лёгочной, которая хорошо проводит звук. В этой же области определяется притупление и укорочение перкуторного звука.
- Если есть инфильтрат в лёгких, то боль в области грудной клетки можно выявить только тогда, когда в процесс начинает вовлекаться париетальная плевра. Эти глубокие боли значительно усиливаются при кашле и дыхании. Раздражение париетальной плевры, которая выстилает диафрагмальную лёгочную поверхность, чаще всего сопровождается болью кожи на верхней части живота.
- В случае сливных или крупных инфильтратах в лёгких, а также у пожилых или ослабленных людей очень часто можно наблюдать одышку. Она характеризует степень недостаточности дыхательной и выраженность вентиляционных рестриктивных нарушений. Как правило, одышка носит смешанный характер: при которой можно отметить затруднение и при вдохе и при выдохе. Это обусловлено уменьшением поверхности дыхания. Одышка может появляться в состоянии покоя или при физических нагрузках; может возникнуть в виде приступов удушья в отдельный период или иметь постоянный характер.
- В случае инфильтрата в лёгких с распадом лёгочных тканей могут возникать кровохарканья.
- При инфильтратах лёгочных воспалительных с кашлем может возникать гнойно-слизистая мокрота, иногда цвета ржавого железа или кровянистая.
Лечение
Больного помещают в специализированное лечебное учреждение. Базовым методом лечения является химиотерапия со следующими лекарственными средствами:
- Этамбул;
- Пиразинамид;
- Изониазид;
- Рифампицин.
Чтобы выяснить, к каким антибиотикам чувствительны микобактерии, проводят посев мокроты. Суть процедуры сводится к выращиванию микобактерий, взятых из образца мокроты больного. Когда бактерии вырастут, их разделяют на нескольку групп, на которые воздействуют теми или иными антибактериальными препаратами. Только так можно обнаружить, какое лекарство следует применить для борьбы с болезнетворными бактериями. Данный анализ очень сложен, его результаты будут готовы только спустя два-три месяца.
Длительность интенсивной терапии при необходимости может составлять несколько месяцев. Дополнительный курс включает применение иммуномодуляторов, кортикостероидов, антиоксидантов.

Микобактерии могут проявлять устойчивость к некоторым лекарственным препаратам, поэтому, в курс лечения обычно входят сразу несколько видов лекарств. Чтобы определить чувствительность к тому или иному антибиотику, проводят специальное исследование мокроты, но такой анализ дает результаты только спустя два или три месяца.
Важно! Кроме приема лекарств, требуется внести изменения в образ жизни. Питание должно быть полноценным, необходимо отказаться от вредных привычек.. Правильно организованный курс терапии позволит справиться с симптомами недуга в следующие сроки:
Правильно организованный курс терапии позволит справиться с симптомами недуга в следующие сроки:
- основные симптомы исчезнут через один месяц;
- токсическое выделение будет устранено спустя три-четыре месяца;
- инфильтраты рассосутся через месяц.
Но отсутствие симптомов заболевания еще не свидетельствует о полном излечении. Микобактерии могут оставаться в организме. Для того чтобы они не проявляли свою активность, необходимо укреплять иммунитет, избегать стрессов, беречь себя от инфекционных заболеваний. При наличии такого серьезного заболевания полезны прогулки на свежем воздухе, особенно в хвойных лесах. Именно поэтому противотуберкулезные диспансеры расположены чаще всего в лесной зоне. Врач назначит повторный курс лечения в профилактических целях. Некоторые лекарственные препараты потребуется пропить еще раз.
В особо тяжелых случаях инфильтративный туберкулез устраняют хирургическим способом, процедура носит название – оперативная коллапсотерапия. К такому методу прибегают при обширном поражении легочной ткани и риске перехода недуга на второе легкое.
Лечение народными средствами
Народные методы могут быть только дополнением к традиционной терапии. Туберкулез нельзя вылечить одними лишь народными средствами. Тем не менее, многие природные компоненты помогут ослабить симптомы заболевания. В лечении недуга используют следующие травы:
- Медуница способствует заживлению пораженных участков, из нее готовят отвары, для которых берут 1 или 2 столовые ложки сушеной травы и заливают одним стаканом воды. Подержав на огне около 19 минут, настаивают еще в течение получаса. Полученное средство выпивают порционно в течение дня.
- Алоэ и ягоды калины (100 граммов) измельчают через мясорубку или в блендере. К полученной смеси добавляют по 200 граммов меда и сливочного масла, туда же добавляют один литр водки. Лекарство настаивают в течение десяти дней. Для приема потребуется одну чайную ложечку средства растворить в стакане горячего молока, стакан с настойкой выпивают целиком. В течение дня такое лечение повторяют трижды.
- Исландский мох эффективно борется с микобактериями. Кроме того, он применяется как отхаркивающее средство.
- Барсучий жир продается в аптеках, с его помощью можно значительно улучшить состояние больного. Его смешивают с медом и принимают за полчаса до еды. Таким образом лечатся на протяжение двух недель.
- Обычный чеснок может помочь в лечении туберкулеза. Для этого следует съедать ежедневно от 3 до 5 зубчиков. Также полезно вдыхать пары чеснока.
Прежде чем использовать то или иное народное средство, требуется посоветоваться с врачом.


















































